長痘怎么辦?長痘了怎么辦正確去除?
長痘痘的位置和原因,長痘痘的原因和改善方法
喝牛奶會長痘嗎?喝牛奶會長痘用什么替代?
痘痘反反復復是什么原因?痘痘反復長怎么調理?
額頭上長痘怎么消除?額頭長痘痘怎么去除
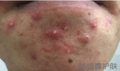
下巴長痘痘一般有多種原因,韓惜露提示下巴長痘痘的原因可能是油脂分泌過多,導致毛孔堵塞,或者是內分泌失調引起的荷爾蒙改變。這些因素都可能導致細菌繁殖、發炎,最終形成痘痘。1. 油脂過多:油脂分泌過多可能導致毛孔堵塞,
反復長痘這么多年,你需要找準痘因?在我們年輕女性的生活中,長痘是一個讓人困擾的問題。無論你處于什么年齡段,搞清楚長痘的原因是非常重要的。讓韓惜露護膚帶大家來看下長痘的原因究竟是什么?一、長痘的原因究竟是什么?長痘
臉頰兩側長痘的原因,臉頰兩邊長痘痘是什么原因引起的?
眉毛上長痘痘是什么原因,眉毛長痘什么原因引起,眉毛長痘痘怎么辦
左臉頰長痘痘是什么原因,左臉頰長痘的原因,左臉頰長痘的原因有哪些
右臉反復長痘的原因是什么,右臉頰長痘的原因
鼻子上長痘痘怎么辦,為什么鼻子上長痘痘,鼻子上長痘痘是什么原因
嘴巴周圍長痘的原因,嘴角長痘痘是什么原因,嘴巴周圍長痘的原因
額頭長痘痘是怎么回事,額頭長痘痘怎么調理,額頭長痘痘是什么原因
紅霉素軟膏祛痘印管用嗎,紅霉素軟膏能去痘痘嗎
快速祛痘的方法有哪些呢?很多人都想知道快速祛痘的方法。其實8年來,我知道的一個事實就是,哪有什么快速祛痘的方法啊。只有按部就班的去努力,只有針對性的對癥調理,只有分析準確經驗判斷準確之后慢慢用產品就能出好的效果。
隨著現在的生活方式的改變,霧霾,電腦輻射,熬夜等等的因素成了誘導痘痘長成的主要原因,因為沒有得到妥善的處理,痘痘消失后的痘印又會讓人們手足無措,下面韓惜露就告訴大家一些快速祛痘去痘印有哪些方法方法和經驗分享。想快
很多長了痘痘的痘友都會過來問這個問題就是:牛奶洗臉祛痘嗎,喝牛奶能祛痘嗎。今天韓惜露老師和大家分享一下關于牛奶是否可以祛痘的問題!請大家看視頻學習!
很多痘友來問白醋可以洗臉可以祛痘嗎?今天韓惜露老師給大家來統一分享下這個問題~請大家看視頻學習:
牙膏可以祛痘嗎,牙膏能不能祛痘,韓惜露老師講解!很多痘友都有過這樣的經歷,就是看了網上的某某文章,牙膏可以去痘,所以很多人就過來問韓惜露牙膏可以去痘嗎?牙膏到底能不能祛痘這些問題!今天韓惜露老師給大家統一講解一下牙膏
掃碼咨詢如何祛痘
「韓惜露老師微信:915885106」
口碑比較好的祛痘產品
熱門祛痘效果 >
關注:1672+
2018-10-11
關注:1442+
2018-07-03
關注:1430+
2018-04-20
關注:1252+
2019-09-03
關注:648+
2020-12-09
關注:552+
2020-12-09
關注:661+
2020-12-09
關注:643+
2020-12-09
熱門祛痘知識 >
關注:1526+
2019-02-06
關注:1501+
2018-10-16
關注:1156+
2018-04-26
關注:1148+
2018-09-24
關注:1013+
2018-06-03
最新祛痘問答 >
關注:439+
2023-09-07
關注:591+
2020-09-06
關注:643+
2020-09-06
關注:811+
2020-08-19
關注:234+
2020-07-03

















